アクチバトール 歯科 270544-アクチバトール 歯科
Jop 矯正臨床ジャーナル 19年10月号に寄稿しました 永山歯科医院
アクチバトールの適応症と禁忌症 Ⅱ級用アクチバトール Ⅲ級用アクチバトール タングクリブの構造と使用目的 フレンケル装置の使用目的と適応症 ナンスのホールディングアーチ スライディングプレート 二態咬合(ニタイコウゴウ)~デュアルバイトアクチバトール(fko) 1装置の適応 上顎前突(オーバージェット) 反対咬合(受け口) 交差咬合;
アクチバトール 歯科
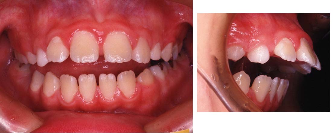
アクチバトール 歯科- アクチバトール、バイオネーター、フレンケル など様々な装置があります。上顎前突に使用する場合は下顎の成長促進が目的です。 バイオネーター Bionater この装置がバイオネータと言われる装置です。 アクチバトール 池袋はならび矯正歯科・神谷 > 歯科用語集 > アクチバトール 取り外し式の矯正装置です。 床矯正と同じようなタイプです。 違いは上下が一体になっていることです。 そのため、床矯正より装置が大きくなることもあります。 上下一体
子供の矯正 南千住の矯正歯科 南千住小児歯科矯正歯科 土日診療
アクチバトール 出っ歯や受け口の両方に使用はしますが,ハイファーの装置の片方としても使用します.その場合は下顎の前方へ成長促進として使用します.ある年齢までの小児しか使用できません. 矯正歯科治療は、一度始めると元の状態に戻すこと 調整は出来ないアクチバトール式は約7000円。 歯科医療は日々発展しますので、回答者の考え方が変わることもあります。 保険改正により、保険制度や保険点数が変わっていることもありますのでご注意ください。歯科技工専門用語手話 索引 五十音順 あ~お アクチバトール アタッチメント アバットメント アルコン型咬合器 アレルギー 鞍状型 安静空隙 アンダーカット 為害作用 鋳型材 維持 維持力 鋳巣 鋳肌荒れ 異物感 色見本 (シェードガイド) 印象材
アクチバトール(あくちばとーる) 就寝時に装着する、上下一体になった顎矯正に使用する装置のこと。 fkoとも呼ばれます。 歯を白く・美しくする、審美歯科とホワイトニングについての解説です。アイ矯正歯科クリニックTOP 治療例 治療例 No15 小児の上顎前突 アクチバトール+ヘッドギア(上顎顎外固定装置) Case No13 出っ歯 治療例 非抜歯(仮) 男性 子ども 10代 横浜市鶴見区 治療例 No15 小児の上顎前突 アクチバトール+ヘッドギアアクチバトールとは、可撤式矯正装置の一種です。 主に夜間に装着する 間歇的 矯正装置です。 金属製の顎間誘導線とレジン床から成り、構成がシンプルなため簡単に製作することができます。 アクチバトールは、次の6つの部位から構成されています。
アクチバトール 歯科のギャラリー
各画像をクリックすると、ダウンロードまたは拡大表示できます
![]() 症例 イクティス歯科 矯正歯科クリニック さいたま市北区 土呂駅の歯医者 | 症例 イクティス歯科 矯正歯科クリニック さいたま市北区 土呂駅の歯医者 | ![]() 症例 イクティス歯科 矯正歯科クリニック さいたま市北区 土呂駅の歯医者 |
![]() 症例 イクティス歯科 矯正歯科クリニック さいたま市北区 土呂駅の歯医者 | ![]() 症例 イクティス歯科 矯正歯科クリニック さいたま市北区 土呂駅の歯医者 | 症例 イクティス歯科 矯正歯科クリニック さいたま市北区 土呂駅の歯医者 |
![]() 症例 イクティス歯科 矯正歯科クリニック さいたま市北区 土呂駅の歯医者 | ![]() 症例 イクティス歯科 矯正歯科クリニック さいたま市北区 土呂駅の歯医者 | ![]() 症例 イクティス歯科 矯正歯科クリニック さいたま市北区 土呂駅の歯医者 |
「アクチバトール 歯科」の画像ギャラリー、詳細は各画像をクリックしてください。
![]() 症例 イクティス歯科 矯正歯科クリニック さいたま市北区 土呂駅の歯医者 | ![]() 症例 イクティス歯科 矯正歯科クリニック さいたま市北区 土呂駅の歯医者 | ![]() 症例 イクティス歯科 矯正歯科クリニック さいたま市北区 土呂駅の歯医者 |
![]() 症例 イクティス歯科 矯正歯科クリニック さいたま市北区 土呂駅の歯医者 | ![]() 症例 イクティス歯科 矯正歯科クリニック さいたま市北区 土呂駅の歯医者 | ![]() 症例 イクティス歯科 矯正歯科クリニック さいたま市北区 土呂駅の歯医者 |
![]() 症例 イクティス歯科 矯正歯科クリニック さいたま市北区 土呂駅の歯医者 | ![]() 症例 イクティス歯科 矯正歯科クリニック さいたま市北区 土呂駅の歯医者 | ![]() 症例 イクティス歯科 矯正歯科クリニック さいたま市北区 土呂駅の歯医者 |
「アクチバトール 歯科」の画像ギャラリー、詳細は各画像をクリックしてください。
![]() 症例 イクティス歯科 矯正歯科クリニック さいたま市北区 土呂駅の歯医者 | 症例 イクティス歯科 矯正歯科クリニック さいたま市北区 土呂駅の歯医者 | ![]() 症例 イクティス歯科 矯正歯科クリニック さいたま市北区 土呂駅の歯医者 |
![]() 症例 イクティス歯科 矯正歯科クリニック さいたま市北区 土呂駅の歯医者 | ![]() 症例 イクティス歯科 矯正歯科クリニック さいたま市北区 土呂駅の歯医者 | 症例 イクティス歯科 矯正歯科クリニック さいたま市北区 土呂駅の歯医者 |
![]() 症例 イクティス歯科 矯正歯科クリニック さいたま市北区 土呂駅の歯医者 | 症例 イクティス歯科 矯正歯科クリニック さいたま市北区 土呂駅の歯医者 | ![]() 症例 イクティス歯科 矯正歯科クリニック さいたま市北区 土呂駅の歯医者 |
「アクチバトール 歯科」の画像ギャラリー、詳細は各画像をクリックしてください。
症例 イクティス歯科 矯正歯科クリニック さいたま市北区 土呂駅の歯医者 | ![]() 症例 イクティス歯科 矯正歯科クリニック さいたま市北区 土呂駅の歯医者 | ![]() 症例 イクティス歯科 矯正歯科クリニック さいたま市北区 土呂駅の歯医者 |
症例 イクティス歯科 矯正歯科クリニック さいたま市北区 土呂駅の歯医者 | ![]() 症例 イクティス歯科 矯正歯科クリニック さいたま市北区 土呂駅の歯医者 | ![]() 症例 イクティス歯科 矯正歯科クリニック さいたま市北区 土呂駅の歯医者 |
![]() 症例 イクティス歯科 矯正歯科クリニック さいたま市北区 土呂駅の歯医者 | 症例 イクティス歯科 矯正歯科クリニック さいたま市北区 土呂駅の歯医者 | ![]() 症例 イクティス歯科 矯正歯科クリニック さいたま市北区 土呂駅の歯医者 |
「アクチバトール 歯科」の画像ギャラリー、詳細は各画像をクリックしてください。
![]() 症例 イクティス歯科 矯正歯科クリニック さいたま市北区 土呂駅の歯医者 | 症例 イクティス歯科 矯正歯科クリニック さいたま市北区 土呂駅の歯医者 | ![]() 症例 イクティス歯科 矯正歯科クリニック さいたま市北区 土呂駅の歯医者 |
![]() 症例 イクティス歯科 矯正歯科クリニック さいたま市北区 土呂駅の歯医者 | ![]() 症例 イクティス歯科 矯正歯科クリニック さいたま市北区 土呂駅の歯医者 | ![]() 症例 イクティス歯科 矯正歯科クリニック さいたま市北区 土呂駅の歯医者 |
![]() 症例 イクティス歯科 矯正歯科クリニック さいたま市北区 土呂駅の歯医者 | ![]() 症例 イクティス歯科 矯正歯科クリニック さいたま市北区 土呂駅の歯医者 | ![]() 症例 イクティス歯科 矯正歯科クリニック さいたま市北区 土呂駅の歯医者 |
「アクチバトール 歯科」の画像ギャラリー、詳細は各画像をクリックしてください。
![]() 症例 イクティス歯科 矯正歯科クリニック さいたま市北区 土呂駅の歯医者 | ![]() 症例 イクティス歯科 矯正歯科クリニック さいたま市北区 土呂駅の歯医者 | ![]() 症例 イクティス歯科 矯正歯科クリニック さいたま市北区 土呂駅の歯医者 |
![]() 症例 イクティス歯科 矯正歯科クリニック さいたま市北区 土呂駅の歯医者 | ![]() 症例 イクティス歯科 矯正歯科クリニック さいたま市北区 土呂駅の歯医者 | ![]() 症例 イクティス歯科 矯正歯科クリニック さいたま市北区 土呂駅の歯医者 |
![]() 症例 イクティス歯科 矯正歯科クリニック さいたま市北区 土呂駅の歯医者 | ![]() 症例 イクティス歯科 矯正歯科クリニック さいたま市北区 土呂駅の歯医者 | ![]() 症例 イクティス歯科 矯正歯科クリニック さいたま市北区 土呂駅の歯医者 |
「アクチバトール 歯科」の画像ギャラリー、詳細は各画像をクリックしてください。
![]() 症例 イクティス歯科 矯正歯科クリニック さいたま市北区 土呂駅の歯医者 | ![]() 症例 イクティス歯科 矯正歯科クリニック さいたま市北区 土呂駅の歯医者 | ![]() 症例 イクティス歯科 矯正歯科クリニック さいたま市北区 土呂駅の歯医者 |
![]() 症例 イクティス歯科 矯正歯科クリニック さいたま市北区 土呂駅の歯医者 | ![]() 症例 イクティス歯科 矯正歯科クリニック さいたま市北区 土呂駅の歯医者 | ![]() 症例 イクティス歯科 矯正歯科クリニック さいたま市北区 土呂駅の歯医者 |
![]() 症例 イクティス歯科 矯正歯科クリニック さいたま市北区 土呂駅の歯医者 | ![]() 症例 イクティス歯科 矯正歯科クリニック さいたま市北区 土呂駅の歯医者 | ![]() 症例 イクティス歯科 矯正歯科クリニック さいたま市北区 土呂駅の歯医者 |
「アクチバトール 歯科」の画像ギャラリー、詳細は各画像をクリックしてください。
![]() 症例 イクティス歯科 矯正歯科クリニック さいたま市北区 土呂駅の歯医者 | ![]() 症例 イクティス歯科 矯正歯科クリニック さいたま市北区 土呂駅の歯医者 | ![]() 症例 イクティス歯科 矯正歯科クリニック さいたま市北区 土呂駅の歯医者 |
![]() 症例 イクティス歯科 矯正歯科クリニック さいたま市北区 土呂駅の歯医者 | ![]() 症例 イクティス歯科 矯正歯科クリニック さいたま市北区 土呂駅の歯医者 | ![]() 症例 イクティス歯科 矯正歯科クリニック さいたま市北区 土呂駅の歯医者 |
![]() 症例 イクティス歯科 矯正歯科クリニック さいたま市北区 土呂駅の歯医者 | ![]() 症例 イクティス歯科 矯正歯科クリニック さいたま市北区 土呂駅の歯医者 | ![]() 症例 イクティス歯科 矯正歯科クリニック さいたま市北区 土呂駅の歯医者 |
「アクチバトール 歯科」の画像ギャラリー、詳細は各画像をクリックしてください。
症例 イクティス歯科 矯正歯科クリニック さいたま市北区 土呂駅の歯医者 | ![]() 症例 イクティス歯科 矯正歯科クリニック さいたま市北区 土呂駅の歯医者 | ![]() 症例 イクティス歯科 矯正歯科クリニック さいたま市北区 土呂駅の歯医者 |
![]() 症例 イクティス歯科 矯正歯科クリニック さいたま市北区 土呂駅の歯医者 | ![]() 症例 イクティス歯科 矯正歯科クリニック さいたま市北区 土呂駅の歯医者 | ![]() 症例 イクティス歯科 矯正歯科クリニック さいたま市北区 土呂駅の歯医者 |
![]() 症例 イクティス歯科 矯正歯科クリニック さいたま市北区 土呂駅の歯医者 | ![]() 症例 イクティス歯科 矯正歯科クリニック さいたま市北区 土呂駅の歯医者 | ![]() 症例 イクティス歯科 矯正歯科クリニック さいたま市北区 土呂駅の歯医者 |
「アクチバトール 歯科」の画像ギャラリー、詳細は各画像をクリックしてください。
![]() 症例 イクティス歯科 矯正歯科クリニック さいたま市北区 土呂駅の歯医者 | 症例 イクティス歯科 矯正歯科クリニック さいたま市北区 土呂駅の歯医者 | 症例 イクティス歯科 矯正歯科クリニック さいたま市北区 土呂駅の歯医者 |
症例 イクティス歯科 矯正歯科クリニック さいたま市北区 土呂駅の歯医者 | ![]() 症例 イクティス歯科 矯正歯科クリニック さいたま市北区 土呂駅の歯医者 | ![]() 症例 イクティス歯科 矯正歯科クリニック さいたま市北区 土呂駅の歯医者 |
![]() 症例 イクティス歯科 矯正歯科クリニック さいたま市北区 土呂駅の歯医者 | ![]() 症例 イクティス歯科 矯正歯科クリニック さいたま市北区 土呂駅の歯医者 | 症例 イクティス歯科 矯正歯科クリニック さいたま市北区 土呂駅の歯医者 |
「アクチバトール 歯科」の画像ギャラリー、詳細は各画像をクリックしてください。
![]() 症例 イクティス歯科 矯正歯科クリニック さいたま市北区 土呂駅の歯医者 | 症例 イクティス歯科 矯正歯科クリニック さいたま市北区 土呂駅の歯医者 | ![]() 症例 イクティス歯科 矯正歯科クリニック さいたま市北区 土呂駅の歯医者 |
![]() 症例 イクティス歯科 矯正歯科クリニック さいたま市北区 土呂駅の歯医者 | ![]() 症例 イクティス歯科 矯正歯科クリニック さいたま市北区 土呂駅の歯医者 | 症例 イクティス歯科 矯正歯科クリニック さいたま市北区 土呂駅の歯医者 |
![]() 症例 イクティス歯科 矯正歯科クリニック さいたま市北区 土呂駅の歯医者 | ![]() 症例 イクティス歯科 矯正歯科クリニック さいたま市北区 土呂駅の歯医者 | ![]() 症例 イクティス歯科 矯正歯科クリニック さいたま市北区 土呂駅の歯医者 |
「アクチバトール 歯科」の画像ギャラリー、詳細は各画像をクリックしてください。
![]() 症例 イクティス歯科 矯正歯科クリニック さいたま市北区 土呂駅の歯医者 | ![]() 症例 イクティス歯科 矯正歯科クリニック さいたま市北区 土呂駅の歯医者 | ![]() 症例 イクティス歯科 矯正歯科クリニック さいたま市北区 土呂駅の歯医者 |
![]() 症例 イクティス歯科 矯正歯科クリニック さいたま市北区 土呂駅の歯医者 | ![]() 症例 イクティス歯科 矯正歯科クリニック さいたま市北区 土呂駅の歯医者 |
Ⅱ級用アクチバトールとは、 上顎前突の改善 に用いられる矯正装置です。 Ⅱ級用アクチバトールは、上顎舌側誘導線、下顎舌側誘導線、レジン床の3つのパーツから成ります。歯科 東京都 ホーム 歯科:歯の病気 機能的矯正装置の種類 機能的矯正装置の種類 アクチバトール 元々は上顎前突の治療に用いられていましたが、適応としては上顎前突だけでなく、構成咬合採得が可能な下顎前突や交叉咬合も含みます。 臼歯の咬合
Incoming Term: アクチバトール 歯科,





















































































コメント
コメントを投稿